「身為子女,我們唯一能做的事就是愛她......」推著媽媽的輪椅,走到手術室時,我只能陪伴到這裡了;接下來我能做的事只有祈禱、祈禱、再祈禱:「媽媽,手術一切順利平安!」

差點趕不及本週的專欄文章,因為這一週來我都在醫院、急診、病房和診所間來回往返......
週日的清晨,媽媽突然覺得左腹痛。左腹痛,我很直覺的聯想到胃痛,給了媽媽胃藥,服用後卻未見任何的疼痛緩解。
「這樣的疼痛,不對勁。」我心想。剛好週日早上,我也有門診,立刻開立轉診單,請媽媽趕緊到急診接受更進一步的檢驗與檢查。
到了急診,醫生評估一陣一陣的腹部絞痛(colic pain) ,伴隨噁心與嘔吐,很有可能是尿路結石 (urolithiasis)。在症狀治療後,安排相關的檢驗與放射線X光檢查。
媽媽在急診就診的時候,我還有診所的門診病患,心情十分的煎熬。
中午門診結束,我趕緊到急診室,急診室大廳門簾隔起的空間,是患者的留觀區。媽媽的臉色異常蒼白,床邊還擺了一個透明塑膠袋,袋裡裝的是剛才的嘔吐物。
「媽媽,還好嗎?檢查的怎麼樣?」
「可能是結石,還不知道檢查結果。」
做完X光檢查,沒有發現任何異常。簽署腹部電腦斷層檢查同意書及注射顯影劑同意書,陪同媽媽到電腦斷層室接受檢查。檢查室的冷氣特別的冷,約略10多分鐘後,檢查完成,廣播家屬可以進來了!媽媽突然全身發抖,可能是對顯影劑過敏,也可能是檢查室裡的冷氣真的太冷了。
趕緊披上外套,仍舊不自主地發抖了幾分鐘。回到急診留觀區,等待檢查報告。急診護理師來床邊重新接上點滴,父親焦急地詢問:「報告多久會出來?」護理師說:「不一定,大概要一個小時。」
同在醫療業,我知道電腦斷層檢查完成,報告會及時上傳到醫療影像PACS系統(Picture archiving and communication system醫學影像存檔與通信系統),好讓醫生判讀。媽媽回到病床,仍然非常疼痛,不時的乾嘔。我很急切地想了腹部急性疼痛的原因,便去請教急診醫生。
急診醫生恰好是之前在醫院的學長,他說:「可能是Left ureteral stone (左側輸尿管結石),要會診泌尿科醫師。」
回到留觀區,心想媽媽確實也喝水量過少,可能真的是結石吧!約略10分鐘後,泌尿科醫師前來會診。他說和放射科醫師討論後,發現輸尿管內沒有結石,影像顯示的白點是在血管內的鈣化點,目前沒有尿路結石的問題。
經過症狀治療,媽媽的疼痛比較緩解了,但是急性腹痛的原因還沒找出來。考量到在急診室不能好好休息,因此決定先離開醫院,再到門診追蹤。
晚上急診醫師打電話到家裡來,他特別提醒:「張醫師,影像科醫師已經發電腦斷層報告,報告結果看到左邊卵巢囊腫( Left ovarian cyst),要特別注意媽媽是否還有腹痛的狀況,如果有的話,要趕緊去看婦產科。」
半夜,一陣一陣的腹痛再度襲來,腹痛伴隨著嚴重的腰痠與背痛,媽媽坐也不是、躺也不是,只能抱著垃圾桶,不停地嘔吐。
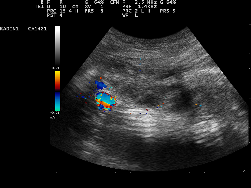
過了漫漫長夜,我再度開立轉診單,轉診單上寫著媽媽的症狀以及做過的相關檢查,高度懷疑可能是左側卵巢囊腫扭轉;出門前,我跟爸媽說,要多帶些衣物,有可能需要開刀。早上八點立刻到婦產科報到,婦產科醫師是我的老師,幫媽媽做超音波確認卵巢囊腫,並且高度懷疑卵巢扭轉(ovarian torsion)的可能性。

我早上的門診不能說停就停,心急如焚,卻也得平心靜氣地看病,實在是很難。約莫九點多,接到老師打來的電話,老師詳細解釋媽媽的病況,說明開刀的必要性,還有開刀的術式。
接下來,爸爸陪同媽媽進行術前例行檢驗和檢查,包括抽血、心電圖、X光、麻醉會診以及辦理住院手續等。
中午門診結束,我立刻趕赴醫院,媽媽已經在病房進行手術前準備。約2個小時後,傳送人員來接媽媽到手術房,為了安全起見,坐上輪椅。陪著媽媽從病房搭電梯到手術房。
手術房內與手術房外,是截然不同的心情和感受。我從來不覺得手術房這麼冰冷,也從來沒有在手術室的家屬等候區等待。
「身為子女,我們唯一能做的事就是愛她......」推著媽媽的輪椅,走到手術室時,我只能陪伴到這裡了;目送著護理人員接走媽媽的背影,接下來我能做的事只有祈禱、祈禱、再祈禱:「媽媽,手術一切順利平安!」

看著手術室外的電腦螢幕從「手術準備中」到「手術中」,心情是七上八下......
「OOO的家屬請進......」當聽到媽媽的名字,我忐忑不安地踏入手術房內,這我好久不曾進到的地方。護理師請我消毒、換上手術服、手術帽,帶我到媽媽的手術房內。進到手術房內,媽媽已經麻醉完成,老師請我看著透過腹腔鏡投影出的螢幕,其中一顆紫黑色的巨大囊腫,就是造成急性腹痛的元兇,血管扭轉了足足兩圈,難怪媽媽的腹痛是如此的劇烈!老師請我再等一小時,手術就會完成。
一小時後,「OOO的家屬請進......」在手術房外等待,最害怕聽到這樣的廣播,因為前面幾組家屬,從「協談室」出來都是哭哭啼啼的。穿著手術衣的老師,捧著切下的卵巢與子宮,專業詳盡地說明手術的經過。看著手術切除下的母親子宮,這是孕育我出生的第一個家啊,心裡真是百感交集、十分複雜!
手術很順利的完成,完成手術後轉至麻醉恢復室,晚上再轉入病房。
完成手術的媽媽,身體仍是很虛弱,也不能進食。手上打著點滴、還插著一根導尿管。剛完成手術,護理師每一、兩個小時,都來量測生命徵象,以及關心術後是否有嘔吐或疼痛等狀況。
夜裡,我睡在病床旁的陪病床,其實真的是無法入睡。有時和媽媽聊天,有時關心媽媽會不會疼痛、會不會想吐、有沒有排氣了?就這麼度過開刀後的一夜。
術後,媽媽的狀況一天比一天好,雖然傷口偶會疼痛、偶爾頭暈、也還有血尿的狀況,但是恢復的情況很好,在中秋節前順利出院。
當醫生變成家屬,我想起蘭大弼醫師曾說過:「機器沒有仁慈,放射線無法表現同情(A machine cannot show kindness; radiation cannot show sympathy)。看病最重要的是『從頭到腳』不僅要看人,更要看他所處的環境,對病患的痛苦要真心的憐憫,對病患的處境要真誠的關懷。高貴的儀器固然重要,但身為一位醫生,一顆憐憫、溫柔、謙卑、吞忍的心對待病人,更重要。」
醫療需要團隊合作,感謝每一位堅守在醫療崗位上的醫療專業人員,因為您們,為台灣民眾守護健康,讓台灣的醫療環境一天比一天更進步!